© 2015 Lutra Állatpatika Minden jog fenntartva!
Székhely: 8220, Veszprémi út 18.
https://www.facebook.com/LutraAllatpatika
+36 70 392 7174
Powered by Positive
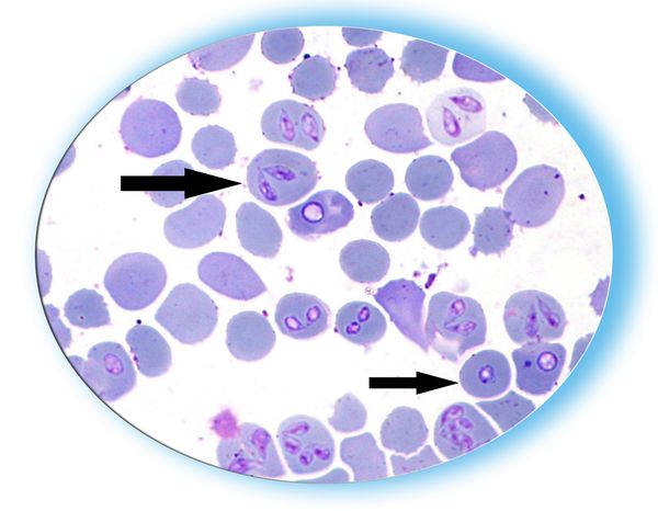
A kutyák leggyakrabban előforduló és legveszélyesebb kullancs által terjesztett betegsége a babesiosis.

A betegséget egy egysejtű vérélősködő, a Babesia canis okozza, mely a vérszívás során jut át a fertőzött kullancsból az áldozatba. A kullancsok nem azonnal a táplálkozásuk kezdetekor juttatják be a kórokozót. Ugyanis a Babesianak át kell alakulnia, hogy fertőzőképes legyen, ehhez a vérszívás megindulását követően hozzávetőlegesen 48 óra szükséges.
A kutya szervezetébe került Babesiak a vörösvérsejtekbe hatolnak és szétroncsolják azokat. Ezáltal elsődlegesen súlyos, akár életveszélyes vérszegénységet okozhatnak. Másrészről pedig az elpusztult vörösvérsejtekből hirtelen nagy mennyiségben kiszabaduló festékanyaggal, a hemoglobinnal a szervezet nem tud egyensúlyt tartani. A hemoglobin lebontása illetve kiválasztása nagyon megterheli a májat és a vesét, ezért másodlagosan ezeknek a szerveknek a megbetegedése alakul ki.
Tünetek:
Kezelés, megelőzés:
Legbiztosabb módja a kullancs elleni védekezés spot on, nyakörv vagy tabletta használatával, valamint a már befúródott kullancsok mielőbbi eltávolítása. A megbetegedett kutyák gyógyulási esélye a terápia megkezdésének idejétől függ!
A betegek kezelése sokszor infúziós terápiát igényel, gyakran több napon át elhúzódóan. Ennek ellenére egyes esetekben a gyakran kialakuló szövődmények miatt az időben megkezdett, leggondosabb állatorvosi ellátás sem képes a beteg kutya életét megmenteni.
Pár éve már Magyarországon is rendelkezésre áll egy költséges vakcina, melyet évente kétszer beadva Babesia fertőzés esetén a babesiosis tünetei kivédhetők/enyhíthetők.